お問い合わせ 027-231-3690
アクセス
大人の矯正 ADULT We protect the oral health of everyone in the community
so that they can live a happy and healthy life.

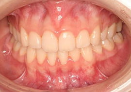
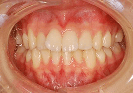
歯並びを整えて笑顔に自信を Orthodontic

今ある歯を整えて歯並びの見た目や噛み合わせを正す成人矯正は、虫歯や歯周病といったお口トラブルがなければ何歳からでも始められるのが特徴です。
見た目が美しくなるだけでなく、虫歯や歯周病のリスク低下、顎関節症の予防といったメリットもあるため、気になる方はぜひ一度ご相談ください。当院では、透明な装置による矯正とワイヤー矯正の2種類を取り扱っております。

歯並びを整えて笑顔に自信を イメージ画像1
歯並びを整えて笑顔に自信を イメージ画像2
歯並びを整えて笑顔に自信を イメージ画像3

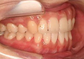
矯正治療の7つのメリット Merit

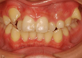
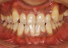
01口元のラインがすっきりして、美しくなれる

矯正治療の7つのメリット イメージ画像1

悪い歯並びは口元や顎の形や生活に影響を与えます。矯正治療を受けることで、口元のラインがすっきりして、横顔もシャープになるので、お顔が美しく見えるようになるのです。

大人になってから矯正される方にとっても、このメリットが一番ではないでしょうか。「歯並びがきれいになればいいな」と思って来院された方でも、矯正治療を終えられてから顔写真を撮ると、ご自分の顔の表情の変化にビックリされることがよくあります。

02笑うときのコンプレックスがなくなり、自信を持って笑うことができる

矯正治療の7つのメリット イメージ画像2

もう笑う時に、手で口を隠す必要はありません!矯正治療を行うことで、より自身を持った魅力的な笑顔を生み出すことができます。やはり、歯並びが気になって「笑うときにはいつも口元を手で隠してしまう」という方も多いです。

もし、思いっきり笑うことができたなら、人生はもっと充実したものになるのではないでしょうか?当院の矯正治療のゴールは、歯並びをきれいにすることではありません。あなたが矯正治療を通して、あなたのなりたい姿になれるようにサポートすることが、私たちの目的なのです。

03姿勢がよくなる

矯正治療の7つのメリット イメージ画像3

歯並びが悪い(あごがずれている)と、背骨もゆがみ、全体的な体のバランスが崩れてしまいます。それを矯正治療によって、全体的な体のゆがみを修正し、すっと美しい姿勢を手に入れることができます。

04むし歯や歯周病になりにくくなる

矯正治療の7つのメリット イメージ画像4

歯並びが悪いと、歯ブラシが届かない場所もたくさんあります。そこで、矯正治療によって、歯ブラシでしっかりと磨くことができるので、むし歯や歯周病を防ぐことができるのです。

現在、歯を失う原因の半分以上は「むし歯」ではなく、歯周病なのです。歯は1度削ってしまうと、完全に元に戻らなくなります。あなたが大人だったら、お母さん、お父さんからもらった大切な体の一部をそう簡単にダメにしないでください。また、お子様をお持ちの方がお読みでしたら、大切なお子様に将来の健康にもつながるよい歯並びをプレゼントしてあげませんか?

05食べ物の消化吸収がよくなる

矯正治療の7つのメリット イメージ画像5

歯並びがよくなると、しっかりと噛めるようになります。すると、だ液や胃液などの消化液もよく出るようになるので、消化吸収がよくなります。そして、結果的に運動能力が上がったり、成績がよくなったという報告もあるくらいです。

06睡眠時無呼吸を防げる

矯正治療の7つのメリット イメージ画像6

「昼間眠いなぁ」という方はいませんか?それは眠っているときに、ちゃんと眠れていないかもしれません。もちろん、本人には「眠れていない」という自覚はありません。顎が小さいと、舌がお口の中に収まりにくくなり、のどの奥に落ち込んでしまいます。
すると、うまく呼吸ができなくなるので、脳に酸素が行かなくなり、質の良い睡眠が取れないのです。だから、起きているときに「なんとなく眠い」と感じてしまいます。矯正治療によって、顎を適切な大きさに広げることで、眠気を押させることが可能になります。

07一生ものの歯ブラシの習慣が身につく

矯正治療の7つのメリット イメージ画像7

実は、矯正治療のいちばんのメリットは「一生、自分の歯を使うように考え方が変わること」です。上でも書きましたが、きれいな歯並びを作ることが矯正歯科の目的ではありません。
矯正治療中は、しっかりとした歯ブラシの指導をします。なぜなら、矯正装置をつけているときに正しい歯磨きができないと、食べカスなどが残ったりして、むし歯になりやすくなるからです。正しい歯磨きの方法を身につけることで、いつまでも自分の歯を守ることができます。

矯正治療は、健康と美しさの両面から人生を豊かにします。輝かしいなりたい自分になるために、矯正治療は必ず役立ちます。そのサポートのため、歯科医師、スタッフが一丸となって取り組んでいますので、安心してお任せください。

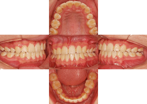
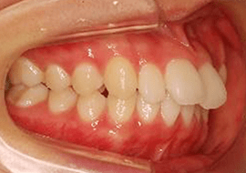
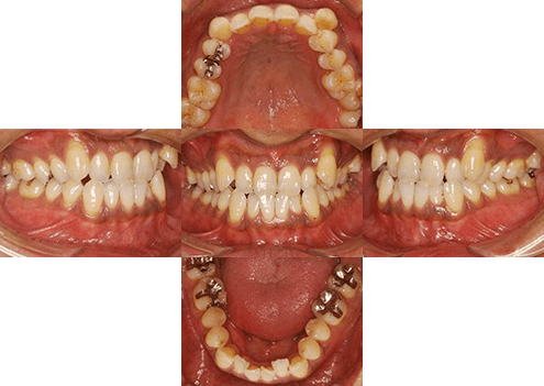
症例紹介
見た目の改善だけでなく機能も正常化
Case

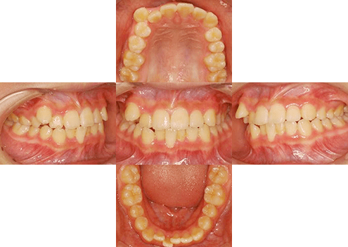
  • 治療前
    症例紹介 イメージ画像1
  • 治療後
    症例紹介 イメージ画像1
  • 治療前
    症例紹介 イメージ画像1
  • 治療後
    症例紹介 イメージ画像1
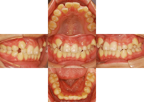
成人矯正
年齢・性別 10代・男性
主訴 八重歯が気になる
治療内容 成人矯正(マルチブラケット(ワイヤー))
治療期間 3年半
費用 750,000円
リスク・副作用 治療中の違和感・痛み、歯根吸収、歯周病、歯肉退縮、歯髄壊死、むし歯
コメント 八重歯と下前歯のでこぼこの改善を行いつつ、全体をきれいにならべました。
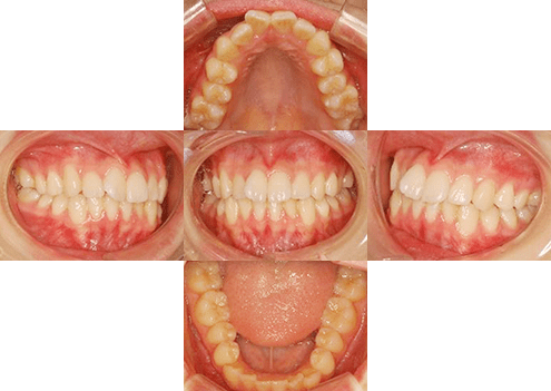
  • 治療前
    症例紹介 イメージ画像1
  • 治療後
    症例紹介 イメージ画像1
  • 治療前
    症例紹介 イメージ画像1
  • 治療後
    症例紹介 イメージ画像1
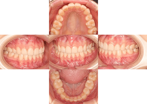
成人矯正
年齢・性別 30代・男性
主訴 八重歯が気になる
治療内容 成人矯正(マルチブラケット(ワイヤー))
治療期間 3年半
費用 864,000円
リスク・副作用 治療中の違和感・痛み、歯根吸収、歯周病、歯肉退縮、歯髄壊死、むし歯
コメント 成人の方の矯正治療です。
10代の方に比べて歯は動きにくくなり期間は少し長くなりますが、きれいに並んだと思います。矯正治療後銀歯も全部白くしました。
  • 治療前
    症例紹介 イメージ画像1
  • 治療後
    症例紹介 イメージ画像1
  • 治療前
    症例紹介 イメージ画像1
  • 治療後
    症例紹介 イメージ画像1
成人矯正
年齢・性別 10代・女性
主訴 前歯が出ている
治療内容 成人矯正(マルチブラケット(ワイヤー))
治療期間 3年半
費用 957,000円
リスク・副作用 治療中の違和感・痛み、歯根吸収、歯周病、歯肉退縮、歯髄壊死、むし歯
コメント 前歯の突出感を改善するために歯を抜いて治療を行いました。口もともだいぶ改善されたと思います。
  • 治療前
    症例紹介 イメージ画像1
  • 治療後
    症例紹介 イメージ画像1
  • 治療前
    症例紹介 イメージ画像1
  • 治療後
    症例紹介 イメージ画像1
成人矯正
年齢・性別 10代・女性
主訴 前歯のでこぼこが気になる
治療内容 成人矯正(マルチブラケット(ワイヤー))
治療期間 3年半
費用 900,000円
リスク・副作用 治療中の違和感・痛み、歯根吸収、歯周病、歯肉退縮、歯髄壊死、むし歯
コメント でこぼこを改善するとともに口元の突出感を改善しました。
  • 治療前
    症例紹介 イメージ画像1
  • 治療後
    症例紹介 イメージ画像1
  • 治療前
    症例紹介 イメージ画像1
  • 治療後
    症例紹介 イメージ画像1
成人矯正(II期治療)
年齢・性別 10代・男性
主訴 前歯のでこぼこ 八重歯が気になる
治療内容 成人矯正(マルチブラケット、アンカーインプラント)l
治療期間 3年9か月
費用 1,047,600円
リスク・副作用 治療中の違和感・痛み、歯根吸収、歯周病、歯肉退縮、歯髄壊死、むし歯
コメント 永久歯が生えるスペースが足らなかったためでこぼこが強くなってしまったのだと思います。奥歯の永久歯もうまっていて出てこれない状態でした。
アンカースクリューを併用してきれいに配列することができました。もし治療をしなかったら将来むし歯や歯周病によって歯を失うことになっていたかもしれません。とても良い状態になったと思うのでこれからもメンテナンスで予防していって下さい。

野中歯科医院の矯正治療は
ここが違う!

  • 矯正治療のためにしっかりした
    設備がある

    野中歯科医院の矯正治療はここが違う! イメージ画像1

    野中歯科・矯正歯科では、最新・最高の歯科用CTを院内に完備しています。CT装置は、お口の様子を3Dで立体的に見ることができ、歯の形・位置などを正確に把握できます。このCT装置の普及率は全国で1%ほどと言われています。
    また、「セファロ」という矯正治療に欠かせない装置も院内に完備しています。普通の歯科医院にはないことが多いのですが、患者様によりよい矯正治療を受けていただくためにセファロも導入しています。

    ※セファロとは、顎の大きさとズレ、顎の形、口元のバランスなどについて調べる装置です。矯正治療前後(治療中も)で見比べることで、どのように歯並びが変化しているかがわかります。

  • かみ合わせについて、総合的に
    見ることができる

    野中歯科医院の矯正治療はここが違う! イメージ画像2

    多くの場合、矯正治療と言えば歯並びを綺麗にして終わりです。しかし、私たちは「綺麗に見える」だけでなく、上下の歯のかみ合わせにまでこだわっています。 かみ合わせは健康に大きな影響を与えており、もし悪い場合は、不定愁訴が出るという報告もあるくらいです。かみ合わせまでしっかり見据えた矯正治療を行うことが重要です。

    さらに、矯正治療以外の診療もしていますので、もし矯正治療中にむし歯ができた場合にはすぐに対処できますし、そうならないようにむし歯予防の指導も万全に行っています。

  • 歯周病の治療を兼ねて、
    矯正治療を受けられる

    野中歯科医院の矯正治療はここが違う! イメージ画像3

    矯正治療は、生まれつき歯並びが悪い人だけが受けるものではありません。もともと悪くなかったけれど、歯周病のために歯並びが悪くなってしまった方もいます。

    歯周病の治療を兼ねて、矯正治療を行っておりますので、歯周病をしっかり治しながら、同時に綺麗な歯並びも手に入れることができます。ご自身の歯並びのことで不安がありましたら、お気軽にご来院ください。

目立ちにくい矯正

目立たない矯正装置 イメージ画像1

透明な装置を使用して歯並びを整える矯正治療システムです。取り外しができるため、食事やお手入れを今まで通り行えます。ほかの矯正治療に比べて対象症例が多いことも特徴です。

詳しく見る

ワイヤー矯正(ブラケット矯正)

1本1本の歯にブラケットとよばれる装置を貼り付け、ワイヤーを通して歯並びを整える方法です。

MERIT

メリット Merit MERITアイコン

  • 理想的な仕上がりになりやすい

    1本1本の歯を細かく動かせられるため微調整がしやすく、見た目はもちろん噛み合わせもしっかり整えられます。

  • 難しい症例にも対応可能

    「高さを維持したまま真横に動かす」「歯を引き上げて高さを変える」といった動きは、ワイヤー矯正の強みです。
    適切に力を加えられるため、難しい症例にも対応できます。治療期間の延長につながる可能性は低いとされています。

  • 治療のスピードが早い

    24時間装置がついているため、トラブルがなければスムーズに治療を進められます。
    特に、上顎前突(出っ歯)や反対工合の治療では、ワイヤー矯正の方がおすすめです。

DEMERIT

デメリット Demerit DEMERITアイコン

  • 装置に慣れるまでに時間がかかる

    ある程度の厚みがあるブラケットとワイヤーを使用するため、その感覚に慣れるまでに1週間ぐらい時間がかかります。

  • 装置が見える

    前歯には透明なブラケットを用います。ワイヤーがその間を通る感じになりますので、以前ほど金属色が目立つことはありません。

  • 食事の取り方に注意が必要

    固定式のワイヤー矯正は、食事中に「装置が取れる」「ワイヤーが歪む」などのトラブルが起こることがあります。そのため、噛みちぎる行為や硬めのものを勢いよく噛む行為は注意しなければなりません。

ワイヤー矯正が向いている人の特徴 Features

  • 口元をきれいに治したい方
  • 計画通りに治療を終わらせたい方
  • 高い治療効果を求めている方
  • 装置の装着時間をしっかり守れるか心配な方
  • 装置の交換を忘れてしまわないか不安な方
  • 抜歯が必要または難しい症例の方

料金表

精密検査5,500
透明な装置による矯正ライト400,000円〜700,000
(保定装置含む)
フル850,000円〜1320,000
(保定装置含む)
ブラケット加工850,000円〜990,000

※症例により前後することがあります。
※矯正歯科治療は公的健康保険対象外の自由(自費)診療となります。

インプラント・矯正治療・
セラミック治療のご相談

インプラント・矯正治療・審美歯科のご相談はLINEでお答えします。
それ以外のご相談につきましてはお答えいたしかねます。
下記のボタンを押していただくか、QRコードを読み取り、当院のLINE公式
アカウントを友だち登録して、相談内容をトークでお送りください。
(翌診療日以降のお返事となります)

LINEで無料相談
LINE QRコード
LINEイメージイラスト

CONTACT お問い合わせ・ご予約

タップで電話がかかります 027-231-3690

受付時間 平日9:00〜12:00 14:30〜18:00
(土曜日は17:00まで)

WEB予約(初診)はこちら
タップで
電話する
WEB予約
(初診)