お問い合わせ 027-231-3690
アクセス
子どもの矯正 CHILD We protect the oral health of everyone in the community
so that they can live a happy and healthy life.

小児矯正でしか得られない
メリットがあります
Pediatric orthodontics

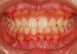
現在の歯並びや噛み合わせを整える成人矯正に対し、小児矯正は「将来の歯並びが崩れる根本的な原因を解決すること」を目的としています。顎骨の成長期である5歳~7歳のタイミングが特に重要で、顎骨を手術なしで広げる治療はこの時期にしかできません。顎の成長に合わせた矯正治療で、効率よく将来の歯並びが美しく並ぶようにサポートします。

小児矯正には成人矯正では得られないメリットが多く存在し、遺伝要素が強い骨格の問題や、大人になると改善が難しい口周りの癖の解決にも役立ちます。早い段階から歯科に関心を持ち、予防の大切さを自然と身につけられるのも大きなメリットといえるでしょう。

小児矯正でしか得られないメリットがあります イメージ画像1
小児矯正でしか得られないメリットがあります イメージ画像2
小児矯正でしか得られないメリットがあります イメージ画像3

こんな症状ありませんか? Symptoms

  • ふとしたときにお口が
    ポカンと開いている
  • 眠っているときにいびきを
    かく
  • 舌を前に出す癖がある
  • 周りの子と比べて発音が悪い
  • 鼻炎などで鼻呼吸ができない
  • 受け口になっている

小児矯正治療を早く始めるメリット Merit

  • 上下顎のバランスを
    整えられる

    顎骨の成長期に専用の装置を使用することで、顎骨の幅を広げることができます。骨がまだ柔らかいため痛みを感じにくく、手術をせずに上下顎のバランスを整えられるのが特徴です

  • 舌を正しい位置に誘導
    できる
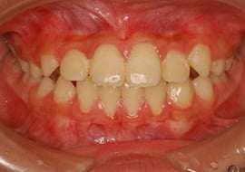
    小児矯正治療を早く始めるメリット イメージ画像1

    専用の装置とトレーニングを合わせることで、舌を正しい位置に誘導できます。舌を前に出す癖や発音、いびき、受け口の改善に効果的で、将来の歯並びにもいい影響を与えます。

  • 唇や頬の筋力をつけられる

    口周りのトレーニングは、唇や頬の筋力をつける効果があります。お口がポカンと開いているケースや口呼吸の改善に役立ち、自然に鼻呼吸ができるようになることで将来の受け口のリスクも抑えられます。

  • 将来の歯並びが崩れる
    リスクを抑えられる

    永久歯の歯並びが崩れる原因は、遺伝のほかに乳歯の早期喪失と口周りの癖が挙げられます。小児矯正がスタートすると定期的に歯科医院へ通院することになるため、虫歯による乳歯の早期喪失も予防できます。

  • 成人矯正での抜歯のリスクを抑えられる
    小児矯正治療を早く始めるメリット イメージ画像2

    顎骨の幅を広げることの大きなメリットとして、永久歯が並ぶスペースを事前に用意できるという点が挙げられます。成人矯正が必要になっても抜歯の可能性は抑えられるため、お子様の大切な歯を守ることにつながります。

不正咬合の種類 TYPES

  • 不正咬合の種類 イメージ画像1

    上顎前突(出っ歯)

    上顎の前歯が前方に傾いている状態を指します。長期の指しゃぶりや舌を前に出す癖、口呼吸などが主な原因で、重度の上顎前突になると唇が閉じられずに、お口の中が乾燥しやすくなります。虫歯や歯周病のリスクが上がるため、注意しなくてはいけません。

  • 不正咬合の種類 イメージ画像2

    下顎前突(受け口)

    下顎の前歯が前方に傾いている状態を指します。舌を前に出す癖や下顎を前に突き出す癖があると、下顎前突になりやすいとされています。

    また、低位舌(舌が下顎に広がって位置している状態)の場合も下の歯列が内側から押される形になるため、下顎前突になる可能性が高まります。

  • 不正咬合の種類 イメージ画像3

    叢生(デコボコ)

    歯が重なって生えたり位置異常があったりしてデコボコしている状態を指します。顎骨が歯に比べて小さいケースや乳歯の早期喪失が原因となることがあります。
    成人矯正では抜歯が必要になる可能性が高く、デコボコして歯ブラシの毛先が歯面にあたりにくいため、虫歯や歯周病のリスクも高めです。

  • 不正咬合の種類 イメージ画像4

    交叉咬合

    噛んだときに上下の歯列全体がズレる状態を指します。上下顎のバランスが悪いことが原因で、頬杖やうつ伏せ寝などの生活の癖によって引き起こされるケースもあります。
    顎骨の成長が止まった後に治療をすると、外科手術が必要になる可能性もあるため、小児矯正で治しておくことをおすすめします。

  • 不正咬合の種類 イメージ画像5

    すきっ歯

    歯と歯の間にすき間がある状態を指します。
    永久歯列の場合は異常のある歯並びと診断しますが、乳歯列ではすき間があるほうが正常です。

    乳歯よりも永久歯の方がサイズが大きいため、生え変わりと同時にきれいに並びやすくなります。

症例紹介
見た目の改善だけでなく機能も正常化
Case

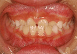
  • 治療前
    症例紹介 イメージ画像1
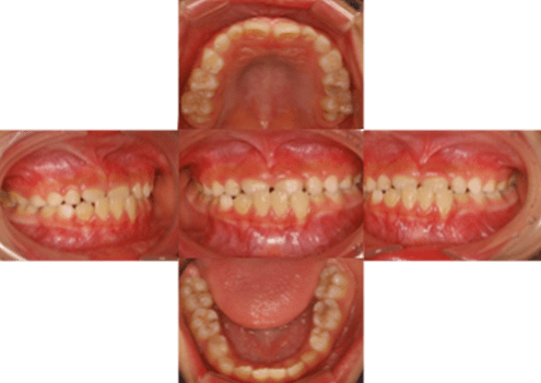
  • 治療後
    症例紹介 イメージ画像1
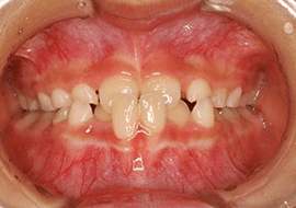
  • 治療前
    症例紹介 イメージ画像1
  • 治療後
    症例紹介 イメージ画像1
小児矯正
年齢・性別 8歳・男性
主訴 反対咬合
治療内容 小児矯正(リンガルアーチ 2×4 チンキャップ)
治療期間 1年5ヵ月
費用 291,600円
リスク・副作用 治療中の違和感・痛み、歯根吸収、歯肉退縮、歯髄壊死、むし歯・歯周病リスク等
コメント 反対咬合の治療です。前歯を並べた状態で奥の萌出を待っています。
  • 治療前
    症例紹介 イメージ画像1
  • 治療後
    症例紹介 イメージ画像1
  • 治療前
    症例紹介 イメージ画像1
  • 治療後
    症例紹介 イメージ画像1
前歯のでこぼこ
年齢・性別 8歳・女性
主訴 前歯のでこぼこが気になる 反対咬合
治療内容 小児矯正(リンガルアーチ 2×4 チンキャップ)
治療期間 1年半
費用 302,400円
リスク・副作用 治療中の違和感・痛み、歯根吸収、歯肉退縮、歯髄壊死、むし歯・歯周病リスク等
コメント 反対咬合の治療です。小児矯正を行っただけですがかなりきれいに並んできていると思います。
  • 治療前
    症例紹介 イメージ画像1
  • 治療後
    症例紹介 イメージ画像1
  • 治療前
    症例紹介 イメージ画像1
  • 治療後
    症例紹介 イメージ画像1
小児矯正
年齢・性別 9歳・女性
主訴 前歯が反対になっている
治療内容 小児矯正(2×4)
治療期間 1年2か月
費用 300,000円
リスク・副作用 治療中の違和感・痛み、歯根吸収、歯肉退縮、歯髄壊死、むし歯・歯周病リスク等
コメント 反対咬合の治療です。
反対咬合の治療は7~8歳前後の早い時期に始めることをお勧めします。

矯正装置について Equipment

矯正装置について イメージ画像1

ワイヤー矯正

前歯がずれていると、そこに合わせて奥歯もずれて生えてくることが多いため、前歯の歯並びを整え、これから生えてくる奥歯の永久歯が出てくるスペースを確保します。上下の顎のずれを成長期の段階で良くしていきます。

矯正装置について イメージ画像2

透明な装置による矯正

透明で目立ちにくい矯正装置です。乳歯と永久歯が混合して生えている6〜12歳までを対象としており、装置を1〜2週間ごとに交換することで歯が正しい位置へと移動します。1日20〜22時間以上の装着が必要です。

成人矯正との違い
抜歯ほとんどしないスペースが足りなければ必要
治療開始期間6〜8歳13歳以上
費用400,000600,000970,000990,000

※矯正歯科治療は公的健康保険対象外の自由(自費)診療となります。

口腔筋機能療法

口腔筋機能療法 イメージ画像

ふとしたときにお口がポカンと開いてしまうのは、唇や頬など口周りの筋力不足が原因です。当院では、MFT(口周りの筋力を鍛えるトレーニング)を行い、「りっぷるくん」という特殊な機械を使って口唇閉鎖力を調べます。痛みはありませんのでご安心ください。

料金表

精密検査5,500
透明な装置による矯正ライト400,000円〜700,000
(保定装置含む)
フル850,000円〜1320,000
(保定装置含む)
ブラケット加工850,000円〜990,000

※症例により前後することがあります。
※矯正歯科治療は公的健康保険対象外の自由(自費)診療となります。

インプラント・矯正治療・
セラミック治療のご相談

インプラント・矯正治療・審美歯科のご相談はLINEでお答えします。
それ以外のご相談につきましてはお答えいたしかねます。
下記のボタンを押していただくか、QRコードを読み取り、当院のLINE公式
アカウントを友だち登録して、相談内容をトークでお送りください。
(翌診療日以降のお返事となります)

LINEで無料相談
LINE QRコード
LINEイメージイラスト

CONTACT お問い合わせ・ご予約

タップで電話がかかります 027-231-3690

受付時間 平日9:00〜12:00 14:30〜18:00
(土曜日は17:00まで)

WEB予約(初診)はこちら
タップで
電話する
WEB予約
(初診)